Hai bisogno di un dentista di fiducia a Lecce? Implantologia Santa Rita è il centro che stai cercando.
In attività dal 2019, in pochi anni Santa Rita è diventato un punto di riferimento per la chirurgia orale avanzata in Puglia. Nel nome del centro (che è intitolato alla santa dei casi impossibili) è racchiusa la vocazione di questa struttura: affrontare e risolvere i casi difficili.
Con una squadra composta da 6 chirurghi orali, Implantologia Santa Rita offre ai pazienti consulenze su misura, con uno specialista adatto a differenti casi clinici.
Il centro
Il momento migliore per scoprire il centro è durante la prima visita. Ad accoglierti una struttura nuova e moderna a due passi da Lecce, dotata di 5 riuniti e di una sala chirurgica.
Strumenti diagnostici di ultima generazione in sede, come la TAC 3D Gendex/KaVo, consentono di effettuare diagnosi precise e complete, già durante il primo appuntamento.
Proprio a partire dai dati della TAC 3D, è possibile pianificare e progettare l’intervento di implantologia per garantire massima predicibilità.






La squadra
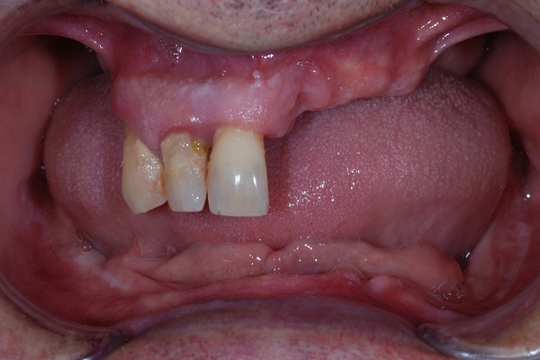
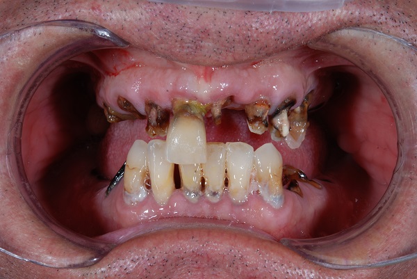
Implantologia Santa Rita collabora con 6 implantologi esperti in chirurgia orale. Avendo alle spalle numerosi anni di attività clinica, questi odontoiatri sono in grado di affrontare situazioni complesse (come casi limite di grave atrofia ossea).
La loro esperienza, inoltre, ha permesso al centro di distinguersi per la capacità di realizzare riabilitazioni di intere arcate dall’elevata resa estetica (evitando – quando possibile – protesi con finta gengiva).
Tra gli specialisti di Implantologia Santa Rita ci sono autori di pubblicazioni scientifiche e di brevetti; alcuni sono stati anche relatori in congressi nazionali ed internazionali.





Vi presentiamo la squadra di Implantologia Santa Rita.
- Il dr. Francesco Grecchi da anni si occupa di implantologia zigomatica e ha all’attivo oltre 2000 interventi di chirurgia ortognatica e 2500 interventi di chirurgia preprotesica maggiore.
Autore e coautore di 108 pubblicazioni scientifiche, Grecchi ha pubblicato nel 2009 una tecnica originale per la riabiltazione dei mascellari atrofici (One Step Oral Rehabilitation), aggiornata con l’uso degli impianti zigomatici nel 2022.
- Il dr. Fabio Marinotti è sostenitore della mininvasività nelle procedure chirurgiche; ha relazionato in diversi eventi in Italia sull’implantologia e in particolar modo sul carico immediato. Si occupa della procedura chirurgica, ma anche della fase protesica.
- Il dr. Marco Parravano ha brevettato impianti dentali progettati e prodotti specificamente per l’implantologia a carico immediato con posizione inclinata.
Grazie a protocolli specifici e all’utilizzo di impianti pterigoidei, il dottor Parravano riesce a trattare quasi il 90% di pazienti con atrofia ossea senza la necessità di ricorrere alla ricostruzione dell’osso.
- Il dr. Nicola Galantucci è esperto dei protocolli All-on-4 e All-on-6 e si occupa di riabilitazioni complesse a carico immediato con saldatura intraorale e protesi conometrica o avvitata.
- Il dr. Elio Pizzamiglio è autore di diverse pubblicazioni su riviste scientifiche americane ed italiane. Ha tenuto corsi di aggiornamento sul carico immediato in Italia e all’estero.
Nel corso della sua carriera ha progettato e brevettato una linea di impianti per il carico immediato.
Denti fissi in giornata e senza dolore
Grazie all’esperienza e all’elevata specializzazione dei suoi odontoiatri, Implantologia Santa Rita riabilita intere arcate dentali in un solo giorno al 90% dei pazienti con l’implantologia a carico immediato (quando ci siano le condizioni cliniche).
L’implantologia a carico immediato consente di evitare al paziente il fastidio di numerose sedute dal dentista, assieme al disagio di restare senza denti o con la protesi mobile (dentiera) per alcuni mesi.
Presso Implantologia Santa Rita l’intervento per riavere denti fissi può avvenire in ansiolisi (quando necessario). Si tratta della soluzione ideale per la chirurgia orale perché consente di ridurre al minimo ansia, dolore e stress.
Il protocollo farmacologico prescritto dall’implantologo, inoltre, consente ai pazienti di non provare particolari fastidi nemmeno nel postoperatorio. Quando presenti, i fastidi potranno essere tenuti sotto controllo grazie ai normali farmaci analgesici.








Dove si trova
Implantologia Santa Rita si trova in via Provinciale per Lecce km. 5 a Cavallino / Lecce (rione Castromediano).
Il centro si affaccia sulla rotatoria con il monumento in ferro raffigurante un cavallo. Se raggiungi il centro in auto dalla Tangenziale, devi imboccare l’uscita 11A (indicazioni per Lecce / Castromediano / Cavallino).